Flujo de trabajo de patología utiliza IA para analizar muestras de pacientes
Actualizado el 29 Jun 2022
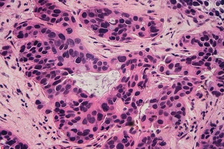
El aumento de los costos de atención médica, la reducción en el número de profesionales médicos que se especializan en patología, mientras que las tasas de cáncer continúan aumentando, impulsan inevitablemente una demanda por tecnología más sofisticada y eficiente. Dado el panorama actual de la patología clínica, existe la necesidad de herramientas para estandarizar los diagnósticos, reducir la variabilidad inter e intraobservador y permitir la extracción de grandes cantidades de datos complejos en tiempos significativamente reducidos. Ahora, una plataforma basada en la nube permite un enfoque holístico del diagnóstico y pronóstico del cáncer a través de la visualización de imágenes digitales de diapositivas completas de muestras histopatológicas humanas y resultados producidos por IA de aprendizaje profundo junto con sus informes continuos.
El visor Aiforia de Aiforia Technologies Plc (Cambridge, MA, EUA) proporciona una toma de decisiones rica en datos para que sea hecha por los patólogos en un formato intuitivo, rápido y fácil de leer. El software Viewer es un visor completamente único para el flujo de trabajo de patología clínica con su enfoque de IA primero; permitiendo el uso de la inteligencia artificial de aprendizaje profundo de Aiforia para respaldar el análisis de muestras de pacientes. Por ejemplo, en el cálculo de biomarcadores de diagnóstico de cáncer de mama antes de que el patólogo tenga siqueira que echar un vistazo; permitiéndoles ver y aceptar rápidamente el resultado. El patólogo finalmente hace el diagnóstico, mientras que el modelo de IA permite la confianza en esta toma de decisión.

Los resultados preliminares producidos por el software Aiforia Viewer permiten la priorización de casos en función de la gravedad y permiten que el laboratorio ordene automáticamente más tinciones, lo que en última instancia acelera el tiempo de diagnóstico. Esto tiene el potencial de hacer que los flujos de trabajo de diagnóstico sean más eficientes, mejorando la eficiencia de producción general del laboratorio. El Aiforia Clinical Suite Viewer con la marca CE-IVD se personaliza para tipos de enfermedades específicas, por ejemplo, cáncer de mama, próstata y pulmón, para permitir los flujos de trabajo, las herramientas y los resultados más adecuados para cada caso de paciente. Aiforia atiende ampliamente a los patólogos, ya que pueden utilizar los modelos clínicos de IA marcados con CE-IVD de Aiforia para el diagnóstico de cáncer de mama, pulmón y próstata junto con Clinical Suite Viewer para, significativamente, ahorrar tiempo y mejorar el flujo de trabajo en el diagnóstico del cáncer.
“En Aiforia estamos abriendo el diagnóstico del cáncer a una nueva era de medicina de precisión habilitada por herramientas automatizadas y basadas en IA durante esta nueva época de la patología, para ayudar a crear modernos flujos de trabajo de patología clínica digitalizados”, dijo Jukka Tapaninen, director ejecutivo de Aiforia Technologies. “Con esta nueva herramienta con la marca CE-IVD y nuestros 5 modelos de IA con marca CE-IVD, y más por venir, podemos atender al laboratorio de patología con un conjunto integral de herramientas automatizadas para el diagnóstico del cáncer”.
"El viaje médico de un paciente de cáncer hacia la curación comienza con un diagnóstico correcto que, muy probablemente, sea realizado por patólogos", agregó Marilyn M. Bui, MD, PhD, miembro sénior, profesora de patología y directora científica de Analytic Microscopy Core en el Instituto de Investigación y Centro de Cáncer Moffitt. “Patología y medicina de laboratorio es el facilitador fundamental de la medicina de precisión. Las herramientas de IA de apoyo en el diagnóstico del cáncer aumentarán la capacidad de los patólogos para brindar diagnósticos precisos y oportunos para beneficiar la atención de calidad del paciente. Nuestros pacientes merecen lo mejor del poder combinado de los patólogos y la IA”.
Enlaces relacionados:
Aiforia Technologies Plc








